膝関節外科
当院では地域の基幹病院として変形性膝関節症はもとより、靭帯損傷、半月板損傷、関節軟骨病変、膝関節内骨折など膝関節疾患全般に対して治療を行っております。
治療方針に関しましては、患者さんの病状と背景を踏まえ、保存的治療から手術治療まで幅広く行っております。
当院の年間手術件数は、人工膝関節置換術・骨切りが5-60件、関節鏡を使用した鏡視下手術が2-30件です。
変形性膝関節症(knee osteoarthritis: 膝OA)
変形性膝関節症は、加齢などにより関節軟骨や半月板が変性・消失する疾患で膝関節痛や可動域制限を生じ、病態が進行すると日常生活動作(ADL)や生活の質(QOL)が低下します。わが国では40歳以上の有病者数は2500万人と推定されており、今後の高齢者人口の増加に伴い有病者数も増加すると考えられています。
当科で行っている手術治療は以下の通りです。
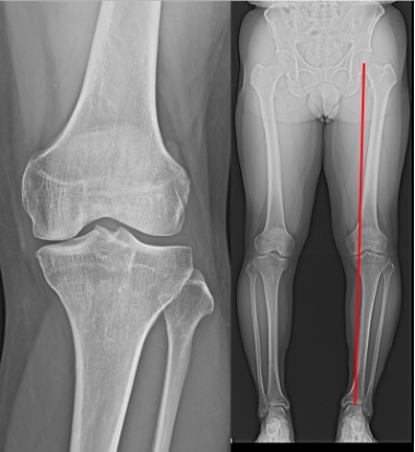
高位脛骨骨切り術(high tibial osteotomy: HTO)
初期の変形性膝関節症や大腿骨顆骨壊死などに適応があります。
O脚変形のために内側に偏った荷重線を、自分の骨を骨折させ角度を変えることにより、比較的きれいな軟骨の存在する外側に荷重線を移動させる手術です。荷重線が移動することによって膝の痛みが緩和されます。
膝関節そのものは温存されるため、人工膝関節置換術では困難な正座やスポーツ活動へ復帰された患者さんが多くいらっしゃいます。

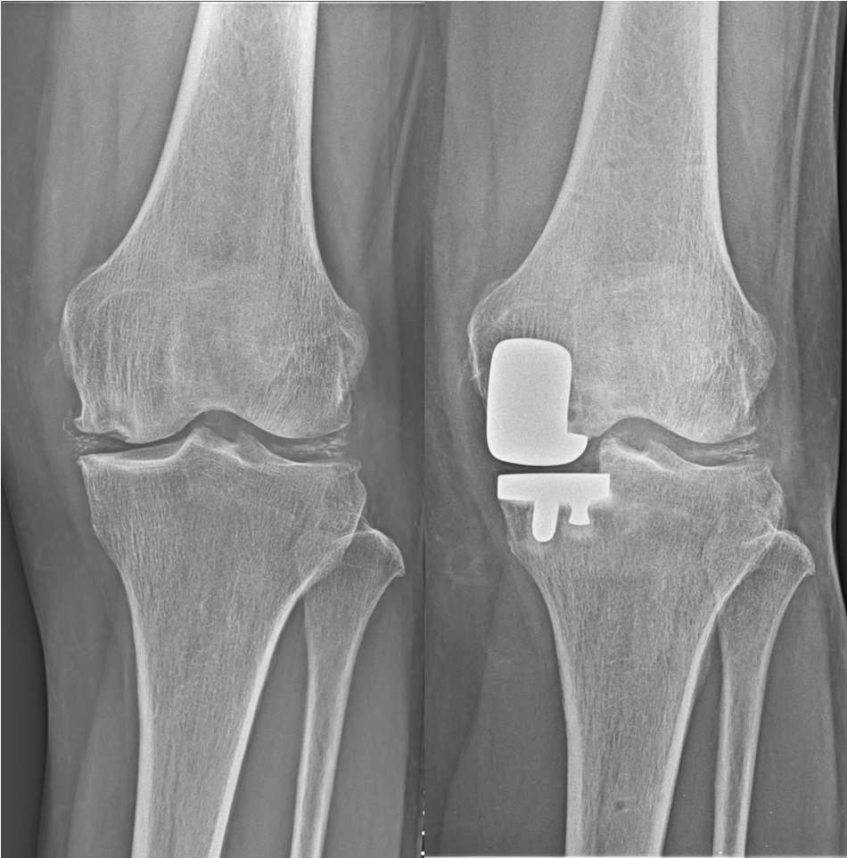
人工膝関節単顆置換術(unicompartmental knee arthroplasty: UKA)
膝関節の内側または外側のみの変形に対して適応があります。
片側のみの人工関節置換術であることから、体への負担が少なく、早期より痛みが改善し歩行が可能となります。
人工膝関節全置換術(total knee arthroplasty: TKA)
末期の変形性膝関節症に対してはTKAを行います。
術前の膝の状態を考慮した上で、それぞれに適切な機種および術式を選択しております。

当院では変形性膝関節症の治療について記載したパンフレットを準備しておりますので膝の痛みに悩まれていらっしゃる方はどうぞお気軽に整形外科外来にお立ち寄りください。
人工膝関節全置換術における3Dテンプレート・動作解析
当院では3次元術前計画ソフトウェア(LEXI社 Zedknee)を用いて患者様のCT画像から最適なインプラントの種類やサイズを手術前から把握することが出来るためより正確な手術が可能となりました。また、膝関節の動態解析が可能ですので術後の状態をより詳細に把握し、リハビリに還元することが可能です。
関節鏡手術
従来、関節手術は大きな傷で行うため、患者さんへの身体的な負担が大きく、又入院期間も長いものでした。しかし、関節鏡下手術の発展に伴い、より負担が少なく、又入院期間も短い治療を行うことが可能となりました。 当院では膝関節、肩関節の手術に積極的に関節鏡を使用しております。
前十字靭帯損傷
膝前十字靭帯損傷はスポーツ膝障害の中でも頻度が高く、年間10000人中約4例が受傷するとされています。前十字靭帯の主な機能は膝の安定化であり、放置すると膝崩れ減少、半月板損傷、関節軟骨損傷が続発し、長期的には外傷性の膝関節症を来す可能性があります。
前十字靭帯機能不全を呈し、機能障害を有する症例に対しては手術的治療によって回復させることが標準的であり、手術的治療により60~70%の症例が受傷前のスポーツレベルまで復帰できるとされています。
手術方法は、膝関節を構成する大腿骨と脛骨の最適部位に関節鏡を用いて細いトンネルを作製し、そこに採取した自分の組織を通し上端・下端を金具で固定します。採取する組織はハムストリングと言われる膝屈筋腱または膝蓋腱を使用します。膝屈筋腱を用いた場合は膝蓋腱を用いた場合よりスポーツ復帰まで長期間を要し(膝屈筋腱:9か月、膝蓋腱:6か月)、一方で膝蓋腱を用いた場合は膝前部の疼痛が残存することが多く、症例に応じて使い分けます。
術後は翌日から可動域訓練、歩行訓練などのリハビリを開始し、7~10日で抜糸し、2週間前後で退院します。

採取した膝屈筋腱を処置したもの 術後レントゲン画像
半月板損傷
半月板は大腿骨と脛骨の間にある軟骨組織で、膝にかかる衝撃を和らげる機能や膝の安定性に寄与します。内外側それぞれ1つ存在しています。膝にスポーツや外傷などで強い外力が加わると半月板が損傷してしまいます。そして残念ながら、一度損傷した半月板は自然には治癒しません。
半月板は衝撃を和らげる機能や膝の安定性に関与するため縫合することが望ましいですが治癒する確率が低いと考えられる場合は切除術を行います。
手術方法はともに関節鏡を用います。膝の前面に5mm程の傷を2箇所作り、関節鏡用の道具を用います。
手術の所見により、術翌日より可動域、筋力訓練を開始し、スポーツ復帰します。スポーツ復帰までの期間は3-6ヶ月です。
(膝関節外科担当、片岡達紀)
お問い合わせ
日本医科大学千葉北総病院
〒270-1694 千葉県印西市鎌苅1715
TEL: 0476-99-1111(代表)


