脳神経血管内治療
脳神経血管内治療について
(のうしんけいけっかんないちりょう)
Neuroendovascular therapy
概要
血管内治療は、大腿動脈などから細い管(カテーテル)を血管病変まで挿入して、血管の中から病気を治療する方法です。
血管撮影という検査から発展し、カテーテルを用いた手技は画像装置、マイクロカテーテルなどの技術の進歩により、血管内で作業するまでに進化を遂げました。従来の手術が開頭を伴うのに比較して、侵襲が小さいため近年注目を浴びている分野です。
例えば次のようなものがあげられます。
- 開頭による手術が困難な脳動脈瘤に対するコイル塞栓術
- 脳動静脈奇形に対する液体塞栓物質を用いた塞栓術
- 頸動脈狭窄症に対する血管形成術(ステント)
- 脳腫瘍の開頭手術前の腫瘍栄養血管塞栓術
当施設では、脳神経血管内治療学会の専門医を中心に、低侵襲な治療法を確立するべく努力を進めています。
治療の対象となる主な疾患
- 脳動脈瘤(破裂、未破裂)
- 脳動静脈奇形
- 硬膜動静脈瘻
- 脊髄動静脈奇形
- 血管外傷
- 頸動脈、頭蓋内動脈および鎖骨窩動脈狭窄症
- 血管性腫瘍
- 脳腫瘍(主に手術前に行う術前塞戦術)
- 慢性硬膜下血腫
その他
代表症例
破裂脳動脈瘤に対するコイル塞栓術GODコイルだとちょっと古いので、コイル塞栓術とする方が良いのではないかと思います。
術後 コイルにより動脈瘤が写らなくなりました。
脳動静脈奇形に対する液体塞栓物質を用いた治療
治療により異常血管は閉塞されました。
頸動脈狭窄症に対するステント留置術
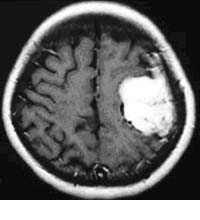
髄膜腫
血管に富んだ腫瘍に対して、手術前に腫瘍を栄養する血管に対して塞栓術を施行しています。
血管内治療の利点
- 一般的に体への負担が少なく、高齢者や合併症を伴った患者さんにも、治療の機会を開くことが出来ます。
- 同様な理由から、治療後の入院期間が開頭手術に比較して短く、早期に社会復帰が可能となります。
- 開頭手術で直接見にいくことが困難な病変でも、血管の中から到達すれば、治療可能なことがあります。
血管内治療の欠点
- 治療中に合併症が発生した時には、開頭手術よりも症状が重篤になる危険性があります。
- まだ歴史の浅い治療法であることもふまえ、治療後も定期的に十分な経過観察が必要です。
- 血管の屈曲、蛇行などにより病変に到達出来ず、治療が出来ないことがあります。
- 放射線を用いた治療なので、常に被曝による合併症を念頭に置く必要があります。



