膝関節外科
- 当院では、膝関節外科スタッフとして、眞島任史主任教授、大島康史准教授が中心となって診療および研究活動を行っています。
膝関節専門外来診療日
- 眞島任史 主任教授 :月曜日 午前、金曜日 午後
- 大島康史 准教授 :月曜日 午前(第1,3,5週)
- 月曜日 午後、水曜日 午後(第2,4週)
-
初めて当院整形外科を受診される方へ
- 当院では、診療情報提供書(紹介状)をお持ちの患者さんは、初診・再診に関わらず優先的に診療致します。その場合、事前に予約を取ることができます。
一方、診療情報提供書(紹介状)をお持ちでない患者さんは、予約はお取りしておりません。また、お会計の際に診察料とは別に保険外併用療養費として7,700円を請求させていただきます。
円滑に診療させていただくためにも、かかりつけ医療機関から紹介状をお持ちいただき、予約を取られることをお勧めいたします。
詳しくは、こちらをご覧下さい。 - https://www.nms.ac.jp/hosp/outpatient/guide.html
-
診療内容
われわれは大学病院本院・特定機能病院の膝関節外科として、変形性膝関節症はもとより、靭帯損傷、半月板損傷、関節軟骨病変、関節内遊離体、膝骨壊死、腫瘍性病変、膝関節内骨折など、膝関節疾患全般に対して治療しております。
- 治療方針に関しては、保存的治療から手術療法まで、患者さんの病状と背景、これまでの治療経過などを十分に考慮し、ひとりひとりに適したオーダーメイド治療を行なっております。また、手術適応は厳格にしつつ、大学病院として新しい治療法や高性能な医療機器も導入し、術前診察・画像診断から、術式、リハビリテーションまで、精度と満足度の高い科学的治療を実践しています。
- 当院膝関節外科の年間手術件数は、関節鏡を利用した鏡視下手術が約100件で、人工膝関節置換術、膝周囲骨切り術などの膝関節形成手術が約150件です。執刀医の経験年数は20 - 40年と十分な治療経験があります。
手術の主な対象は、(1) 膝関節外傷と (2) 膝関節障害です。
- (1) 膝関節外傷の代表的なものには、主にスポーツ外傷による、半月板損傷、前十字靭帯損傷、膝蓋骨亜脱臼などです。
- 前十字靭帯損傷に対しては、患者さんのスポーツレベルや活動性を十分に考慮し、膝蓋腱もしくは半腱様筋を用いた2重束による解剖学的再建術を行っております。
- また半月板損傷に対しては関節鏡視下半月板縫合術ならびに部分切除術を行っています。
- 膝蓋骨亜脱臼に対しては半腱様筋を用いた内側膝蓋大腿支帯再建術を行っております。
- 同時に、より早期により良い状態で競技復帰していただくことを第 1 目的として、リハビリテーションプログラムを展開しています。
(2) 膝関節障害の代表的なものには、若年者における軟骨病変や、中高齢に発症する変形性膝関節症、膝骨壊死が挙げられます。
患者さんの年齢や活動性、日常生活の障害程度に合わせて患者さんに合ったオーダーメイドの治療法を心がけています。
前医での治療効果が認められなかった場合や、病期の進行した症例に対しては手術を行いますが、基本的にはまず保存的治療を行います。
治療法としては、減量や大腿四頭筋(太ももの表の筋肉)の筋力強化などのリハビリテーション、消炎鎮痛剤の内服・外用やヒアルロン酸の関節注射、サポーターや足底板などがあります。これらの保存的治療で症状が改善しない方には手術を行います。
また、近年、多血小板血漿 (platelet rich plasma: PRP) 療法が注目されております。これは多くの成長因子を含んだ自分の血小板を高濃度で関節に注入することで、抗炎症作用と組織修復能を促進することが期待されております。当科では、次世代型PRPと呼ばれる高濃度自己タンパク質溶液を含んだPRP療法を導入予定であり、現在準備を行なっております。
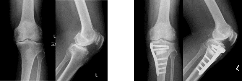
高位脛骨骨切り術 (high tibial osteotomy: HTO)
変形性膝関節症や大腿骨内顆骨壊死症などに適応があります。
脛骨の近位部を骨切りし、O脚に変形した下肢を軽度X脚に矯正し、荷重による負担を膝外側に移動することによって、膝内側の痛みを緩和する方法です。変形の程度によって開大式と閉鎖式骨切り術を使い分けております。
また、若年者で骨壊死を伴う症例には、骨軟骨片移植による関節内治療も併用し、良好な成績を得ています。
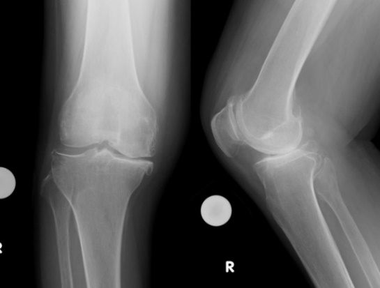
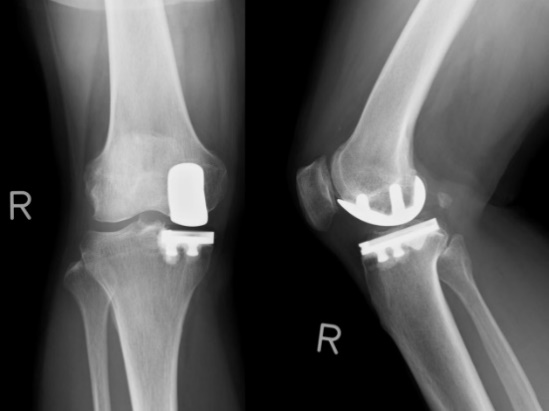
人工膝関節単顆置換術 (unicompartmental knee arthroplasty: UKA)
膝関節の内側もしくは外側のみの単顆型の変形や骨壊死症に適応があります。片側のみの人工関節置換術であることから、手術侵襲が少なく、術早期から除痛が得られ、歩行が可能となります。

人工膝関節全置換術 (total knee arthroplasty: TKA)
- 末期の変形性膝関節症に対しては、TKAを行います。
患者さんの術前の膝関節可動域や画像所見を十分に検討し、それぞれに適したインプラントおよび術式を選択しています。また、手術精度の向上を目指したコンピュータナビゲーションを2機導入し、より正確な手術の達成や臨床研究のデータ解析に活用しています。 - さらにコンピュータ支援手術の開発を行なっています。
両側O脚変形、両側同時TKA

高度X脚

学会主催
- 2014年09月24日-27日 The 27th Annual Congress of International Society for
- Technology in Arthroplasty (ISTA、国際人工関節学会)
- 2015年11月13日-14日 第21回日本最小侵襲整形外科学会
- 2016年09月22日-23日 第65回東日本整形災害外科学会
- 2017年11月16日-17日 第45回日本関節病学会
- 2017年11月16日-17日 The 5th Annual Meeting of Arthroplasty Society in Asia (ASIA)
- 2018年02月23日-24日 第48回日本人工関節学会
- 2018年05月18日 The 26th Japan-Taiwan Orthopaedic Symposium (JTOS)
- 2019年03月22日-23日 第59回関東整形災害外科学会
- 2024年09月27日-28日 第73回東日本整形災害外科学会
- 2024年12月06日-07日 第2回日本膝関節学会
- 2024年12月06日-07日 Asia-Pacific Organizaion of Knee Arthroplasty (APOKA)2024
- 2025年03月21日-22日 第65回関東整形災害外科学会
学会発表
国際学会
American Academy of Orthopaedic Surgeons (AAOS)、Orthopaedic Research Society (ORS)、International Society for Technology in Arthroplasty (ISTA)、Asia-Pacific Organization of Knee Arthroplasty (APOKA) Symposium、Japan-Taiwan Orthopaedic Symposium (JTOS)、Royal College of Orthopaedic Surgeons of Thailand (RCOST)、Japan-Korea Orthopaedic Symposium (JKOS) など
国内学会
日本整形外科学会学術総会、日本人工関節学会、日本膝関節学会、日本スポーツ整形外科学会 、日本関節病学会、日本臨床バイオメカニクス学会など
最近の代表的な臨床論文
Majima T, Takai S: CAS as a research tool of TKA. Formosan Journal of Musculoskeletal Disorders. 7 (2015) 1-6.
Iizawa N, Mori A, Majima T, Kawaji H, Matsui S, Takai S. Influence of the Medial Knee Structures on Valgus and Rotatory Stability in Total Knee Arthroplasty. J Arthroplasty. 2016 Mar;31(3):688-93.
Oshima Y, Iizawa N, Takai S. Midterm Result of Arthroscopic Bicruciate Ligament Sutures for Multiligament Knee Injury in an Adolescent Patient. J Nippon Med Sch. 2017;84(6):301-303.
Oshima Y, Iizawa N, Kataoka T, Majima T, Takai S. A computed-tomography-scan-based template to place the femoral component in accurate rotation with respect to the surgical epicondylar axis in total knee arthroplasty. Knee. 2018 Jan;25(1):195-202.
Watanabe H, Majima T, Takahashi K, Iizawa N, Oshima Y, Takai S.: Posterior tibial slope angle is associated with flexion-type Salter-Harris II and Watson-Jones type IV fractures of the proximal tibia. Knee Surg Sports Traumatol Arthrosc. 2018 Dec 10.
眞島任史、高井信朗:PS TKAにおける膝周囲軟部組織の力学的特性の計測.日本臨床バイオメカニクス学会誌,39;61-64, 2018
眞島任史:変形性膝関節症.今日の治療指針.第18章 整形外科疾患,医学書院,1123-1127,2019
大島康史、飯澤典茂、眞島任史、高井信朗:コンピュータテクノロジーを使用した人工膝関節置換術―CTテンプレートによる大腿骨回旋位の決定とaugmented reality手術への応用、別冊整形外科75:202-5, 2019



