頭蓋咽頭腫
頭蓋咽頭腫(ずがいいんとうしゅ)について Craniopharyngioma
下垂体茎に発生する良性腫瘍であり、原発性脳腫瘍の3.5%を占めます。全年齢に発生しますが、特に中学生以下の小児期と40~60代を中心とする成人期とに好発ピークが見られるという特徴があります。
若年層に多いタイプは嚢胞や石灰化を伴うことを特徴とし、正常組織に食い込んでいることが多く完全な摘出が困難な一因となっています。
成人に多いタイプは充実性腫瘍として成長することが多くみられます。
症状
(1)頭蓋内圧亢進症状
腫瘍が上方に進展することにより脳脊髄液の循環が障害され水頭症を来すことにより生じます。特徴的な症状は頭痛、嘔気、歩行障害、視力低下などです。
(2)視力視野障害
下垂体茎から上方に進展し視神経を押し上げることにより起こります。典型的な症状としては両耳側半盲(両目視野の外側が欠ける)があり、進行すると視力低下も来します。
(3)下垂体機能低下
小児では成長ホルモン分泌不全による低身長や性腺ホルモン分泌不全による二次性徴の欠如などで見つかることがあります。下垂体機能全般に障害され、倦怠感、易疲労、発熱などの副腎不全による症状で見つかることもあります。また下垂体茎を障害するため尿崩症(尿量調節の障害)を来し、多尿、口渇を引き起こすこともあります。プロラクチン上昇による生理不順や乳汁分泌を起こすこともあります。
(4)視床下部障害
大きな腫瘍となると視床下部を障害し、低体温、意識障害を来すこともあります。
治療
治療の第一選択は手術による全摘出です。全摘出が出来なくても放射線治療が有効となります。
当施設における治療
頭蓋咽頭腫は下垂体茎から発生し上方に進展するので、腫瘍の発生部位や進展様式から、内視鏡を用いた経鼻手術が有利となります。とくに視神経の裏側や第三脳室内は従来の開頭手術では観察が難しいため、下からのぞきあげるように手術する経鼻手術のほうが安全性は高いと考えています(*)。内視鏡による経鼻手術のメリットは低侵襲(体の負担が少ない)、視神経裏側の剥離(従来手術で残存しやすい場所)で、デメリットは横に伸びる部位は摘出出来ない、髄液漏(術後の水漏れ)の危険性、などです。全摘出来ない部位に関しては放射線治療によりコントロールが可能であり、髄液漏に関しては確実な閉鎖方法を開発し克服可能です。
手術での全摘出を目指すだけでなく、機能温存を第一目標として定位放射線治療を組み合わせることによる集学的治療を行っております。
*大型の頭蓋咽頭腫、横方向に進展するものについては開頭手術を必要とする場合もあります。
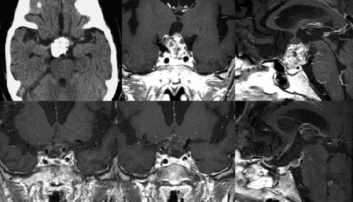
64歳女性 頭蓋咽頭腫
視力視野障害、下垂体機能低下、尿崩症で発症しました。
内視鏡下経鼻頭蓋底手術を行い、下垂体茎部を残して全摘しました。閉鎖には腹部から採取した筋膜によるパッチ縫合を行いました。残存部にはガンマナイフ照射を行い経過観察中です。
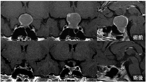
11歳女性 頭蓋咽頭腫
視力視野障害、低身長で発症しました。術前検査では成長ホルモン分泌不全が見られました。内視鏡下経鼻頭蓋底手術を行い、下垂体茎を残して摘出しました。術後、下垂体機能低下なく成長ホルモン分泌も改善しました。経過中に下垂体茎に小さな嚢胞が出現したためガンマナイフ照射を追加して経過観察中です。


