転移性脳腫瘍

転移性脳腫瘍(てんいせいのうしゅよう)について Metastatic brain tumors

転移性脳腫瘍(てんいせいのうしゅよう)は、癌の第4病期(stageIV)に当たり、以前はその存在が認められても治療の対象から外されることが多かった脳腫瘍です。脳腫瘍全体の 14.7%を占め、神経膠腫、髄膜腫、下垂体腺腫に次いで多く、原発巣は表1 のように肺癌が最も多い。症例の61.3%が50〜69 歳のいわゆる癌年齢に発症しています。一般的に原発巣のコントロールが比較的良く、少なくとも6カ月以上の生存が見込める症例が手術適応となり、手術により局在症状、脳圧亢進症状の除去を図ることにより健全なquality of lifeを回復、維持することが可能です。

表1. 頭蓋内転移腫瘍の原発巣頻度 (脳腫瘍,篠原出版より改変)
症例全国集計
肺癌 51.0%
乳癌 10.3%
腸・直腸癌 6.9%
胃癌 5.3%
腎・膀胱癌 5.1%
頭頚部癌 4.3%
子宮癌 3.20%
その他 13.9%

また、肺癌の頭蓋内転移率は40.8%(ほとんどが脳実質内)、乳癌のそれは50.8%(脳実質内21.1%、下垂体20.0%)と高率で、一般的に原発巣治療から脳転移診断までの平均期間は肺癌で7カ月、乳癌では42〜60 カ月です。これらの病気をお持ちの方は定期的な脳の画像診断(CTやMRIなど)が必要といえます。

症状

tenisei_fig_1

転移性脳腫瘍の症状に特徴的なものはなく、頭蓋内悪性脳腫瘍一般の症状である頭蓋内圧亢進症状(頭痛、嘔気、精神症状)と病巣の存在する部位の局在症状が主体です。

診断

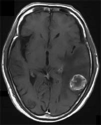
CT、MRIで境界明瞭な腫瘤でいわゆるリング状造影効果をしめすものが多い。

治療

治療は手術、放射線療法、化学療法などが中心になります。

(1)手術

転移性脳腫瘍は悪性脳腫瘍ですが、脳原発のものと違い脳組織との境界明瞭であり、脳表のものは特に手術的に摘除することで、脳局在症状を改善しうる可能性が高いといえます。

(2)放射線照射

(a)全脳照射

全脳照射は一般に高エネルギーX線を用いています。脳転移の症状緩和に対して60〜80%に有用であり、現在も広く施行されています。しかし全脳照射のみの治療では80%以上の症例に再発がおこります。手術療法との組み合わせ、または定位放射線療法との組み合わせが必要となるでしょう。

(b)定位放射線照射

定位放射線療法にはライナックナイフ(X線を病巣部に集光させる定位放射線治療装置)、サイバーナイフ(工業用ロボットの技術を導入し、X線を大量照射する治療装置)、ガンマナイフ(201個のコバルト線源から発せられるガンマ線を病巣に集中させる方法)などがあります。これらは腫瘍が脳深部にあり手術が難しい場合や、腫瘍が複数あり一度の手術では切除困難な場合は、特に有効な治療法です。

(3)化学療法

がん細胞の細胞分裂を停止させる薬剤を、静脈内注射や経口(内服)で投与します。用いられる薬剤はがんの種類によって異なります。
副作用として骨髄抑制、腎臓機能や肝臓機能の低下、吐き気、脱毛などが起こる可能性がありますが、個人差がみられます。

予後

原発巣のコントロールにより生存率は改善されつつありますが、5年生存率12%というのが現状です。脳転移が認められても、治療により局在症状、脳圧亢進症状の除去をはかることでより良い生活を回復、維持することが可能であり、脳転移が見つかった場合、脳神経外科専門医と相談されることが重要でしょう。

私設サイト

「脳神経外科学教室」

診療科では、独自のより細かな情報提供のために、私設サイトを運営しております。ぜひ、ご覧ください。