髄膜腫
髄膜腫(ずいまくしゅ)と治療について Meningioma
概要
脳腫瘍(転移性脳腫瘍を除く)の発生頻度は、人口10万人に対し13人程度で、髄膜腫はそのうちの約26%を占めます。くも膜という脳を覆っている膜の細胞から発生する良性の腫瘍です。頭蓋骨の中で発生しやすい場所はだいたい決まっており、場所によって症状が異なります。
症状
(1)局所症状
脳の機能は部分によって役割分担がだいたい決まっています。そのため、脳腫瘍が出来た場所で現れる症状が異なります。多くの場合、圧迫によりその部分の機能が低下しますが、刺激によりてんかん症状をあらわすこともあります。代表的な脳の機能を図-1に示します。
(2)頭蓋内圧亢進症状(ずがいないあつ こうしん しょうじょう)
脳腫瘍が大きくなると頭蓋骨の中の圧力が高くなり、頭痛、吐き気、嘔吐などの症状を出します。圧力がとても高くなると、脳ヘルニア(脳が頭蓋骨の底にある穴から抜け出そうとする現象)がおこり、脳幹(のうかん)という部分に圧力が集中し、意識障害や呼吸停止といった生命にかかわる状態になることがあります。
症状がない場合には検査を定期的に行い経過を観察することがありますが、良性腫瘍といえども徐々に大きくなり症状が出たときには手術しづらくなることがあるので、手術によって摘出しておくほうが良い結果が得られるといえます。
診断
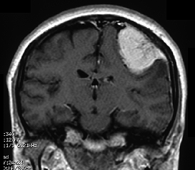
(1) CT、MRI
CT(コンピュータ断層撮影:X線を利用)やMRI(核磁気共鳴影像法:磁気を利用)による脳の断層画像でほとんど診断がつきます。しかし、他にも鑑別しなければならない病気があり最終的な確定診断は手術によって摘出した腫瘍を顕微鏡検査(病理検査)することでなされます。(図-2)
(2)脳血管撮影
脳血管撮影(のうけっかんさつえい)では髄膜腫を栄養する血管の状態や正常の脳血管の状態を知ることが出来ます。診断に役立つだけでなく、手術を行う上で重要な情報が得られます。
(3)病理診断
病理診断は摘出された腫瘍に対して行われ、腫瘍の種類・悪性度がわかります。これが確定診断となり、手術後に他の治療が必要か判断されます。
治療
治療の基本は手術で腫瘍をすべて取り除くことです。しかし、発生した場所によってはすべてを摘出することが困難なことがあり、そのような場合には術後に放射線療法を必要とすることがあります。
手術の合併症として脳内出血、脳浮腫、脳の正常血管の損傷による脳梗塞、脳損傷、腫瘍内出血、感染、使用される薬剤に対する過敏症などがあげられます。また、今まで体に潜んでいた病気が手術をきっかけに発症することもあります。
髄膜腫は発生した場所によっては痙攣発作を起こしやすく、腫瘍を摘出しても痙攣の可能性があるため抗けいれん剤の内服を続ける必要な場合があります。
手術以外の治療法としてガンマナイフという放射線治療があります。コンピュータで計算し局所に放射線を集中させる方法で、腫瘍の大きさが約3cm以下の場合が適応です。1回の照射ですむのが特徴ですが、腫瘍に神経などが近接する場合にその神経の麻痺をきたす合併症や、まれですが長期間経ったあとで放射線誘導性の脳腫瘍が出来ることも知られています。
予後
髄膜腫の5年生存率は93%です。再発率は、ほとんど取り除いた場合10年間で約10〜20%で、やむを得ず腫瘍が一部残った場合には約30〜50%です。ほとんどが良性ですが、まれに悪性のものもあり(病理検査でわかります)、摘出手術の後に放射線療法や化学療法が必要になります。
手術後は外来通院で定期的にCTやMRIを撮影し、もし再発や最増大がみられた場合には再手術、放射線、ガンマナイフ治療などを行います。


